Eigentlich wollte Nala gar nicht so gerne aus dem Auto aussteigen – schließlich waren wir bei der Tierarztpraxis gelandet, die impfen, Deckzeitpunktuntersuchungen durchführen und auch mit den lieb gemeinten Fleischwurstgaben am Ende eines jeden Termins bei Nala nicht so richtig landen können!
Dabei ist das ganze Team wirklich sehr nett und hat uns auch heute wieder freundlich begrüßt und „verarztet“. Und es war ein besonderer Termin, denn heute sollte mit einer Ultraschall-Untersuchung geklärt werden, ob die Verpaarung mit Carlson Früchte getragen hat.
Aber erst einmal wurde Nala der Bauch rasiert; sie wusste doch gleich, dass sie nicht reinwollte 🙂 Aber wie wir unsere Frau Nala kennen, hat sie sich dafür ruhig auf die Seite legen lassen und das ganze Gebrumme mit der ihr typischen Geduld ertragen. Und dann hat Herrchen sie auf ein schönes weiches Kissen auf den Behandlungstisch gehoben . Dort wurde sie auf den Rücken gedreht, eine Position, die Hovis ja eigentlich lieben, aber es dauerte ein bisschen, bis Nala es genießen konnte 🙂
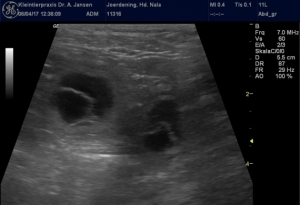
Nun begann die Tierärztin den Bauch zu schallen. Ein vorwitziger Winzling drängte sich gleich ins Bild! Sein Herz schlug deutlich und regelmäßig, sein Neuralrohr (als Vorläufer der Wirbelsäule) war noch deutlich nach innen gefaltet und offen und putzmunter schwebte er an der Nabelschnur.
Bei der weiteren Recherche bekamen wir noch die einen und die anderen ins Visier, einer hat sich ganz nah an der Blase eingenistet, das gibt später bestimmt häufige Pipi-Gänge der Schwangeren 🙂
Allen Embryos geht es gut, die Tierärztin war mit dem Gesehenen sehr zufrieden und wir natürlich auch!
Rechts könnt ihr ein Video aus den heutigen Aufnahmen sehen – wer genau hinschaut, kann die kleinen Herzen pulsieren sehen 🙂
Hovawart Zuchtgemeinschaft Deutschland e.V.


Hat bestimmt nur geklappt wegen des Pansen zum Geburtstag……
JUHU 🙂
Herzlichen Glückwunsch
Von Arvid, Christian und Gudrun
Ich find das sowas von toll und weiterhin alles Gute
Herzlichen Glückwunsch, wir freuen uns sehr. Bestimmt gab es nach der Prozedur ein Lieblingsleckerli für Nala. Jetzt heißt es natürlich weiter Daumen drücken.
:):):)
Ooohhh, das ist aber schön! Wir freuen uns mit Euch. Und drücken weiterhin die Daumen. Vielen Dank nochmals für den Nachmittag mit der Wasserexpedition.